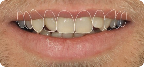
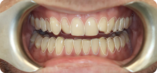
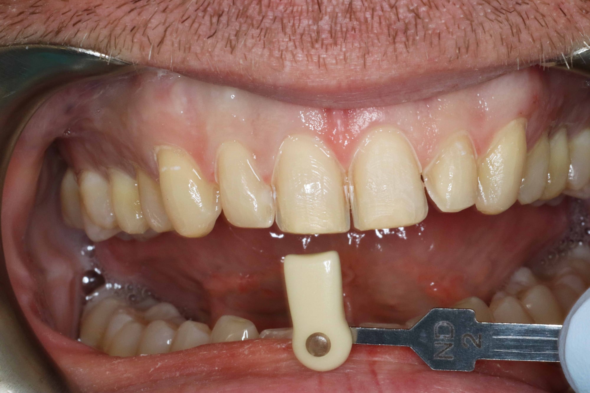
Clear Aligner Guided Veneer Rehabilitation
This case involved a staged aesthetic rehabilitation combining clear aligner therapy and minimally invasive veneers. Orthodontic alignment was completed first to optimise tooth position, allowing for conservative veneer preparation and preservation of natural tooth structure.
A digital smile design (DSD) workflow was used throughout planning, aligner treatment, and restorative execution. This interdisciplinary approach ensured a predictable aesthetic outcome with minimal biological cost. The final result delivered improved alignment, symmetry, and smile harmony.






